
Dental stains removal helps treat discoloration and remove stains caused by food items, medical conditions, and more. There are several techniques used for removal, such as polishing, airflow, whitening, and more. A consultation with our experts will help determine your best choice. The results can last for a long time if excellent oral care is maintained.
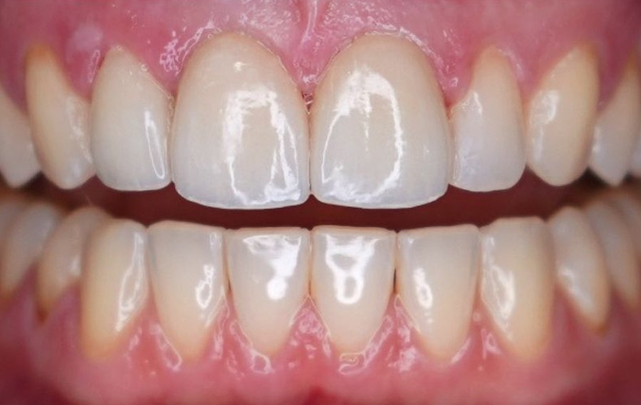
See how dental stains removal can refresh your smile—check out these before and after results.



Looking to remove teeth stains and get perfect white teeth? Enfield Dental Clinic’s Dental stains removal in Dubai can help remove extrinsic and intrinsic stains. We use advanced technology and expert care to help you achieve your desired results. Read more to know about the procedure, cost, benefits, and more.
Various reasons can cause it; some are extrinsic, while others are intrinsic. We will list some of the causes below:
The following people are considered ideal for the treatment; however, pregnant/nursing mothers and people with serious medical conditions must consult our specialist to confirm their eligibility:
Below are the benefits of dental stain removal Dubai:
At our dental clinic, we use various techniques for the removal. Each type is tailored as per your goals and requirements. Below is a brief explanation:
Teeth Polishing and Scaling combines the application of a polishing paste and ultrasonic tools to remove the stains and tartar buildup. Usually, scaling is done first and then polishing for further enhanced results.
This method uses chemical agents that are approved by the FDA and are safe for dental purposes. These ingredients will help lighten the stains significantly.
It is an advanced method for using air, water, and fine powder. Moreover, it is considered safe as it doesn’t affect your natural enamel.
Our specialists gently buff a thin layer of your enamel. It delivers effective results for intrinsic stains.
If the issue is intense and the stains don’t go away after the treatment. Dental Veneers or bonding, can be used for cosmetic enhancement.
The procedure may vary based on the technique used; however, you may expect the following:
Follow the following instructions after the treatment for further enhanced results.
Dos | Don’ts |
You should brush your teeth two times in a day with a soft toothbrush. | Don’t smoke or consume alcohol |
Use only the dentist’s recommended toothpaste. | Immediately after the treatment. |
Drink plenty of water after every meal. | Don’t skip flossing and brushing. |
Use a straw for drinks that may stain. | Avoid using harsh products. |
Visit your dentist frequently. | Don’t ignore signs of sensitivity. |
Follow all the recommended instructions. | Don’t delay the follow-up session. |
If you are looking for the best dental stain removal near me, below are some of our specialties that make us your ideal choice:
Cost ranges from AED 400 to AED 800. The cost may vary depending on factors such as the severity of the issue, the number of sessions, and the experience of the dentist. The final price will be decided after you consult with our exert and qualified dental hygienists.
The average cost ranges between AED 400 to AED 800. It may vary and can be influenced by factors like the number of sessions, treatment type, and more.
No, it is a painless procedure and doesn’t cause any discomfort.
The duration may vary; however, it may take between 30-60 minutes or so.
After the procedure, you will experience initial results immediately. However, for more enhanced results, you may need more sessions.
Yes, if excellent oral care is not maintained, the removed stains may come back.
Yes, the techniques can remove most types of stains; however, if they are stubborn, cosmetic dental devices may be required to fix the issue.
Yes, our expert specialists perform it in a way that enhances the safety and comfort of the patients.
The frequency may vary; however, it is recommended that you get it after every 6-12 months.


Are you also bearing the consequences of tooth decay? Which

Many people struggle with insecurities about their smiles due to